Planmeca ProMax® 2D, maksillofasiyal görüntüleme için eksiksiz ünitelerdir. Tasarım ve çalışma prensipleri en son bilimsel araştırmalara ve teknolojik yeniliklere dayanmaktadır. Üniteler, günümüzün 2D panoramik diş görüntülemesinin en zorlu ihtiyaçlarını bile karşılayabilecek kapasitededir.

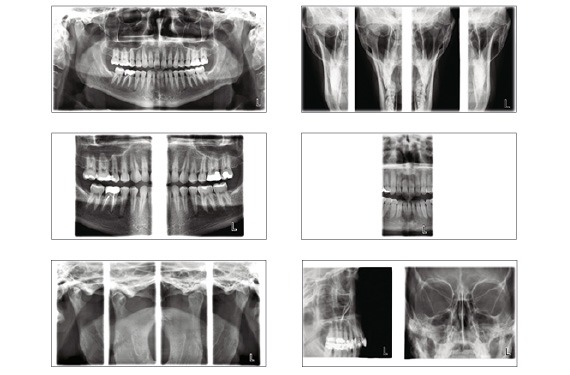
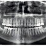
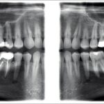
Klinik 2D görüntüler
Hasta konumlandırmayı aç
Planmeca ProMax’ın açık yüz mimarisi, hastaları doğru şekilde konumlandırmanıza yardımcı olan sınırsız bir görünüm sunar. Bu, ünitenin otomatik odaklama özelliği kullanılarak veya doğru anatomik hizalama noktalarını doğru bir şekilde gösteren üçlü lazer ışın sistemiyle manuel olarak yapılabilir.

Kullanıcı dostu kontrol paneli
Kullanıcılara çalışmaları boyunca rehberlik eden bir arayüze sahip Planmeca ProMax 2D panoramik diş görüntüleme üniteleri her zaman sorunsuz bir görüntüleme deneyimini destekler. Farklı görüntü türleri ve hedefler için önceden programlanmış siteler ve pozlama değerleri hem zamandan tasarruf sağlar hem de hastalarınıza tamamen odaklanmanıza olanak tanır.

Ayarlanabilir odak katmanı
Bilimsel araştırmalara dayanarak geliştirilen görüntüleme geometrisi, odak katmanının şeklini hastanın anatomisiyle eşleştirerek net panoramik görüntüler sağlar. Hastanın çenesinin boyutuna ve şekline göre grafiksel kullanıcı arayüzünden odak katmanının şeklini seçmeniz yeterlidir.

Otomatik olarak ayarlanan pozlama değerleri
Benzersiz dijital Dinamik Pozlama Kontrolü (DEC) özelliğimiz, anatomik yapısına ve kemik yoğunluğuna göre her hasta için pozlama değerlerini otomatik olarak ayarlar. DEC, daha tutarlı parlaklık ve kontrastla hem 2D panoramik hem de sefalometrik görüntülerin kalitesini artırır.

Robotik kol teknolojisi
Patentli SCARA teknolojisi sayesinde Planmeca ProMax ünitelerimiz rotasyonel maksillofasiyal görüntüleme için gerekli tüm hareketleri üretebilir. Seçici Uyumlu Eklemli Robot Kolu anatomik olarak doğru görüntüleme geometrisini garanti ederek net ve hatasız görüntüler sağlar.

Kapsamlı görüntüleme programları
Planmeca ProMax 2D üniteleri çok çeşitli görüntüleme programları sunar. Çeşitli panoramik diş görüntüleme programlarının yanı sıra TME ve sinüs görüntüleme seçenekleri de mevcuttur. Cihazlarda ayrıca görüntüleme alanı ve pozlama değerleri azaltılarak daha düşük dozlarda görüntülemeye olanak sağlayan çocuk modu da bulunmaktadır.







